PANDA_ConvNeXT_K

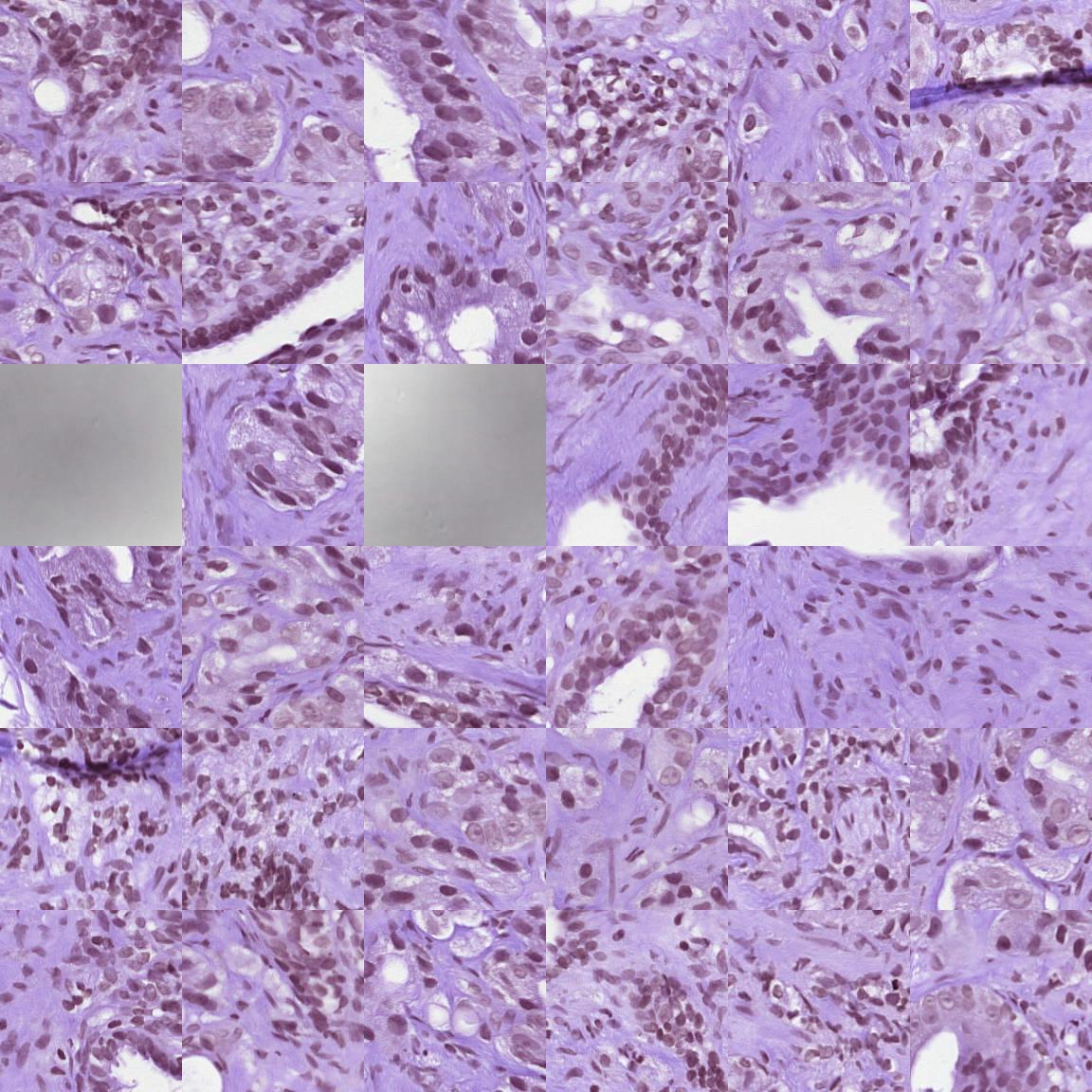
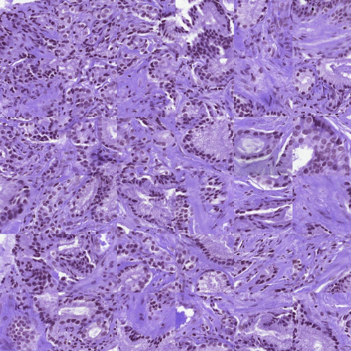
An attempt to use a ConvNeXT for medical image classification (ISUP grading in prostate histopathology images). Currently uses a tiled and concatenated WSI as input

ISUP 0:

ISUP 1: ISUP 2: ISUP 3: ISUP 4: ISUP 5:

Downloads last month
6
Inference Providers NEW
This model isn't deployed by any Inference Provider. 🙋 Ask for provider support

Evaluation results